Coloproctólogo experto en Puebla: Hospital Guadalupe

En el Hospital Guadalupe, nos dedicamos a proporcionar una atención médica integral para todos los aspectos de la salud intestinal. Contamos con un coloproctólogo experimentado, especializado en el diagnóstico y tratamiento de diversas patologías que afectan el colon y el recto. Nuestra misión es garantizar que cada paciente reciba la mejor atención posible en Puebla, asegurando […]
Laboratorio clínico en Puebla | Hospital Guadalupe

En Hospital Guadalupe, nos dedicamos a ofrecer servicios de laboratorio clínico en Puebla de la más alta calidad. Nuestro objetivo es proporcionar análisis clínico en Puebla precisos y eficientes, ayudando a nuestros pacientes a cuidar su salud. Contamos con instalaciones adecuadas y un equipo técnico altamente calificado que garantiza la seguridad y eficacia de los estudios […]
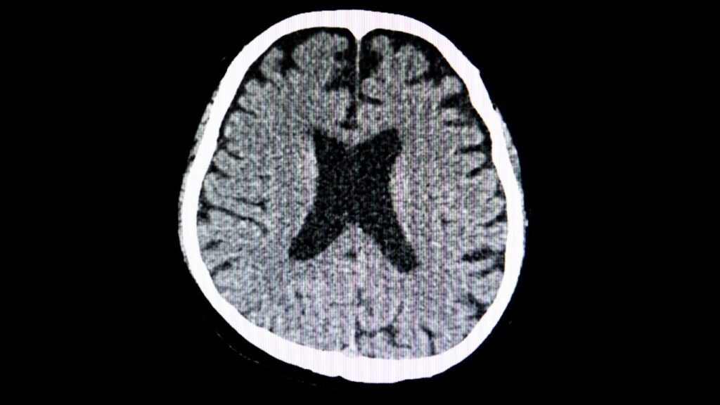
Tomografía de Cráneo – Diagnóstico Preciso en Puebla

La tomografía de cráneo se ha consolidado como una herramienta fundamental en el ámbito del diagnóstico médico, especialmente para la detección de diversas afecciones cerebrales. En Puebla, nosotros en el Hospital Guadalupe ofrecemos un servicio de tomografía computarizada que incorpora tecnología de vanguardia y un equipo de personal altamente capacitado. Nuestro compromiso es proporcionar un diagnóstico […]
Servicio de Urgencias Médicas 24/7 en Puebla

En el Hospital Guadalupe, nos enorgullece ofrecer un servicio de urgencias médicas 24/7 en Puebla que está diseñado para atender a nuestros pacientes en momentos críticos. Nuestro equipo de profesionales altamente capacitados se dedica a proporcionar atención médica urgente de manera eficaz y rápida. Contamos con equipo de última generación que garantiza diagnósticos precisos y tratamientos […]
Tomografía Computarizada Avanzada en Puebla

En el ámbito del diagnóstico por imagen, la tomografía computarizada se ha posicionado como una técnica fundamental que brinda resultados precisos y rápidos. En Puebla, el Hospital Guadalupe se destaca por ofrecer tomografía computarizada de última generación, garantizando la eficacia en la obtención de imágenes médicas. Esta herramienta se ha convertido en una aliada indispensable en nuestra […]
Hospital Guadalupe Puebla: Atención Médica Especializada

En el Hospital Guadalupe, nuestro objetivo principal es ofrecer atención médica especializada que priorice la salud y el bienestar de nuestros pacientes en Puebla. Nos comprometemos a proporcionar diagnósticos precisos y tratamientos personalizados, utilizando las mejores prácticas y tecnologías avanzadas. Creemos firmemente en la importancia de garantizar el acceso a servicios de salud de calidad en […]
Consultas Especializadas en Cardiología en Puebla

En Puebla, el acceso a consultas especializadas en cardiología es esencial para asegurar el adecuado diagnóstico y tratamiento de diversas enfermedades del corazón. En el Hospital Guadalupe, nos enorgullecemos de contar con un equipo de cardiólogos certificados que están comprometidos con el cuidado del corazón y la salud cardiovascular de nuestros pacientes. Nuestras consultas están diseñadas […]
Estudios de Laboratorio Precisos en Puebla

En el Hospital Guadalupe, nos dedicamos a ofrecer servicios de estudios de laboratorio precisos en Puebla. Nuestro compromiso es garantizar la salud y el bienestar de nuestros pacientes, utilizando tecnología avanzada que asegura resultados de análisis confiables y precisos. Esto facilita el diagnóstico y tratamiento efectivo de diversas condiciones de salud, convirtiéndonos en un laboratorio médico de confianza para toda la […]
Atención Médica por Especialistas en Puebla

En Puebla, la atención médica por especialistas es un pilar fundamental para garantizar la salud y bienestar de nuestros pacientes. En este contexto, el Hospital Guadalupe se destaca al proporcionar atención médica de calidad, respaldada por un equipo de profesionales altamente capacitados. Nuestro enfoque se centra en ofrecer un cuidado integral, lo que nos permite realizar […]
Análisis de Muestras Biológicas Confiables en Puebla

En este artículo, exploramos la importancia y la confiabilidad de los análisis de muestras biológicas realizados en Puebla por el Hospital Guadalupe, un laboratorio de análisis que se dedica a ofrecer servicios de alta calidad. Los análisis de muestras biológicas son fundamentales en la detección y diagnóstico de diversas enfermedades, contribuyendo decisivamente al bienestar de la […]